A study published in the respected journal Frontiers in Endocrinology revealed compelling findings.
Participants with early-stage dementia who used the extract known as the “Phantom Miracle Tree” experienced a 26% increase in natural melatonin production within just a few weeks — along with noticeable improvements in memory.
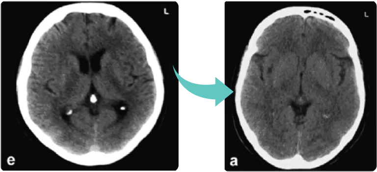
In another clinical study conducted at the University of Pittsburgh, Alzheimer’s patients received 60 mg of Moringa extract for four weeks.
Advanced imaging showed something remarkable:
a reduction in calcification of the pineal gland, which typically builds up over years due to fluoride and toxin exposure.
Researchers were impressed by the results.